The Team Approach in a Complete mouth Pro Arch Hybrid Reconstruction using the Indirect Method for Provisionalization
submitted by:
Robert A. Levine DDS, FCPP, FISPPS
Harry Randel DMD
Share This


Initial Situation
A Periodontist and ITI® colleague whose office is two hours from our practices referred this patient to our team. Initially, she was seen by the Prosthodontist, Dr. Harry Randel, and subsequently referred to the Periodontist, Dr. Robert Levine, for a team approach to solve her failing dentition.
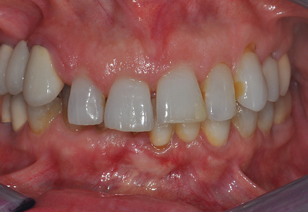
The patient presented to our offices as a 65 year-old non-smoking female (ASA 3: Illnesses under treatment: anxiety/depression, osteoarthritis, fibromyalgia, hypothyroid and history of myofacial pain dysfunction) to our office (Fig. 1, Fig. 2, Fig. 3). There was a history of TMJ issues (ie. clicking and pain with her right side TM joint) which presently is under control and pain-free. Her chief complaint was to improve her esthetics and comfort with desire for a permanent and quick solution to replace her failing dentition. She also desires a reduction of her maxillary anterior gummy smile in the final prosthesis. She arrived to our office for a third surgical consult for an immediate load maxillary and mandibular hybrid restoration using the Straumann® Pro Arch treatment concept (tilting of the distal implants to avoid anatomic structures of the maxillary sinus, mandibular mental foramina). This treatment concept reduced the need for additional surgeries and number of implants needed to provide a fixed hybrid restoration with a first molar occlusion. A medium to high lip line was noted upon a wide smile with a bi-level plan of occlusion. Also noted was supraeruption of her maxillary and mandibular anterior teeth (#7-10 and #25-27) creating a deep bite of 6mm (Fig 2). A Class I canine relationship relationship was recorded with 6 mm overjet & 6 mm overbite. Due to her medication-related dry mouth issue, generalized recurrent caries were noted. Periodontal probing depths ranged generally 4-7mm in the maxillary jaw and 4 to 6mm in the mandibular jaw with moderate to severe marginal gingival bleeding upon probing in both jaws. Tooth #6 was noted to have a vertical fracture clinically. There was generalized heavy fremitus in her maxillary teeth and mobilities ranging 2-3 degrees on the following teeth: #3, 7 thru 13, 20-26 and 29. Her compliance profile was good with her previous dentists, however, she states as always having "issues with my gums." The tentative treatment plan that was discussed at the initial visit, with the patient and her husband, included the following:
Diagnosis: Generalized moderate to advanced periodontitis; generalized recurrent caries related to medication-related dry mouth; posterior bite collapse with loss of occlusal vertical dimension ("mutilated dentition").
Prognosis: all remaining teeth are hopeless.
Plan:
- Obtain a CBCT of both arches to evaluate bone quality, bone quantity, and anatomical limitations.(Fig 4)
- Articulate study models with fabrication of diagnostic full upper denture (FUD), full lower denture (FLD) and surgical guide templates.
- Team discussions to develop the final surgical and prosthetic treatment plan for hybrid restorations using the Straumann® Bone Level Tapered Implant (BLT) with a first molar occlusion. Utilization of an indirect technique will be used to fabricate the converted fixed laboratory metal-reinforced provisionals in one day.
- Coordination of the surgical visit (Dr Robert Levine) with the prosthodontist's office (Dr. Harry Randel), dental laboratory (NewTech Dental Laboratory, Landsdale, PA), and the dental implant company representative (Straumann USA, Andover, MA) are arranged. The patient is aware of the possibility of needing to wear one or both dentures during the healing phase if the insertion torque values are not appropriate for immediate loading. This may be due to bone quality, bone quantity, or need for extensive bone grafting requiring a membrane technique for guided bone regeneration (GBR) and a 2-stage approach. This is very important to review with all patients especially when only four implants are planned in the maxillae as the distal implants(s) may record poor insertion torque values due to bone quality and quantity. The ability to use longer, tapered (BLTs), and tilted implants- as in the present case- with adequate buccal bone available for the anticipated 4.1mm implants help to reduce this possibility significantly.
- Delivery of the fixed provisionals in one day in the prosthodontist office.
- Post-operative visits every 2-3 weeks with the periodontist office for de-plaquing, review of plaque control techniques and delivery of a water irrigation device at 6 weeks. An occlusal adjustment to be completed at each post-operative visit with the surgical and restorative offices, because the occlusion is very dynamic as the patient's musculature continues to accept her newly restored occlusal vertical dimension (OVD)
- Completion of final case at least 3 months post-surgery. Since the patient will be spending the winter in Florida, she will commence her final treatment when she returns in the spring.
- Periodontal maintenance every 3 months alternating between offices.
Based on CBCT analysis it was decided to place 5 implants in the upper jaw using sites: #4 (tilted), #7, between #8 & #9 (midline), #10 and #12 (tilted) after vertical bone reduction for prosthetic room. Four implants were anticipated to be placed in the lower jaw in sites #21 (tilted), #23, #26, & #28 (tilted). The anticipated position of each implant is desired to be palatal in the maxillae to the original teeth and lingual to the original mandibular teeth. This is to allow for screw-access holes exiting away from the incisal edges anteriorly, and if possible lingual to the central fossae in the posterior sextants. An additional benefit of palatal and lingual placement of each implant is that their final position will be at least 2-3 mm from the anticipated buccal plates, which is beneficial for long-term bone maintenance and implant survival. If the necessary 2 mm buccal bone to the final implant position is not available, then contour augmentation (bone grafting) is recommended to create that dimension. The goal is to prevent buccal wall resorption over time using slowly resorbing anorganic bovine bone and a resorbable collagen membrane. This membrane allows easy contouring and flexibility over the graft material when it is wet. It is also important to evaluate tissue thickness. It is ideal to have at least 2mm of buccal flap thickness over each implant as thin tissues are associated with bone loss and recession over time. Either connective tissue grafts from the palatal flap or tuberosity can be harvested and sutured under the buccal flap. Alternatively, an allograft connective tissue or a thick collagen material can be used to thicken the buccal flaps when necessary.
Surgical Appointment:
The patient was pre-medicated with oral sedation (Triazolam 0.25mg), amoxicillin, a steroid dose pack and chlorhexidine gluconate (CHG) rinse all starting 1 hour prior to surgery. The patient's chin and nose were marked with indelible marker, and the OVD was measured using a sterile tongue depressor with similar markings while the patient remained closed. The patient was then given full mouth local anesthesia. Starting with the maxillary arch, full thickness flaps were raised and sutured to the buccal mucosa with 4-0 silk to provide improved surgical access and vision. The teeth were removed with the goal of buccal plate preservation using the PIEZOSURGERY® (Mectron: Columbus, OH) for bone preservation (tips EX 1, Ex 2, Micro saw: OT7S-3). The sockets were degranulated with PIEZOSURGERY® (tip: OT4) and irrigated thoroughly with sterile water. With the anatomically correct surgical guide in position and firmly held in place by the surgical assistant, measurements were made from the mid-buccal of each tooth. Surgical cuts were made going from the anticipated cantilever of site #3 to site #14 using the PIEZOSURGERY® saw (tip: OT7 ). Our team goal was to create the prosthetic room necessary for a hybrid restoration i.e. 10-12 mm. The cuts were intentionally extended beyond the anticipated cantilever length to create adequate strength and thickness of the final prosthesis in these unsupported cantilever areas. (Fig 5, Fig 6) The mandibular arch was treated in a similar manner. Additionally, bilateral mandibular tori reduction were accomplished with the aid of the PIEZOSURGERY® saw (tip: OT7) after the extractions and prior to the vertical bone reduction of the mandibular ridge. Subsequently the implants were placed.
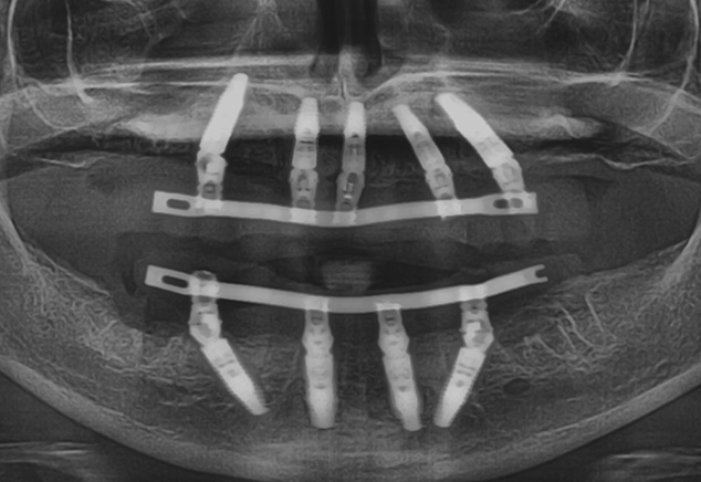
The implant sites were prepared using the manufacturer's protocol (except for bone tapping) for the Straumann BLT implant. The implants were placed using the surgical guide template with the following insertion torques measured: site: #4, #7, #8-9,#11,#13, #21,#23,#26. All torques were >35Ncm with #28 recording 20Ncm insertion torque values. All implants were 4.1mm in diameter and 14mm in length except #7, #8-9, and #11, which were 12mm in length (Fig 7). All 17 and 30 degree-angled implants were bone profiled prior to SRA abutment placement. This allowed the complete seating of the SRA abutment at the recommended 35Ncm torque. Using the available Straumann bone profilers with the appropriate Narrow Connection (NC) or Regular Connection (RC) inserts was a critical step for an abutment to fit correctly. The following SRA abutments (all were 2.5mm gingival heights) were then chosen: straight: #23, #26; 17 degrees: #4, #7, #8-9; and 30 degrees: #11, #13, #21, and #28. Tall protective healing caps were then placed (Fig 8), and the dentures were checked to evaluate that there was adequate space for the pink acrylic to allow for bite registration material thickness. All sockets and buccal gaps to the immediately placed implants were bone grafted. Prior to suturing, the tissue flaps were scalloped with 15c blades to reduce overlap of the flaps over the protective caps. This not only aided in post-operative healing, but also aided in the visualization of the abutments by the restorative dentist for the provisional insertion. The patient was sutured with resorbable 4-0 chromic gut and 5-0 Vicryl™ sutures (Ethicon: Johnson & Johnson) and was released to be seen immediately by Dr. Randel for the coordinated restorative visit. As discussed below, his responsibilities included: bite registration, impressions, and the dental lab conversion of the complete denture to a metal reinforced fixed transitional prosthesis (indirect provisionalization technique). Our team of restorative dentists have been treating full-arch immediately loaded cases on 5-8 implants (depending if restoration is a hybrid or C&B) since 1994. Our earlier experiences, for approximately the first two years (1994-1996), have us all presently using the indirect technique, which in our hands is easier for everyone involved (especially the patient). We handle these coordinated visits between offices, the dental lab, and our Straumann representative weeks prior so we are all on the same page with timing. These coordinated efforts could be compared to a symphony orchestra, where each musician knows their specific part and when and where they are expected to be. Many of our patients have described this fluidity as a seamless experience that they witness first hand and greatly appreciate.
Same day Restorative appointment with Dr. Randel (Prosthodontist):
The patient was seen from Dr. Robert Levine's office for restorative records in preparation for immediate load protocol. The previously processed dentures were first checked with pressure paste to insure there was no contact of the intaglio surface with the tall healing caps. Bite registration material was then used to confirm there was no contact (Fig 9) and later will be used by the lab to articulate the models. Efforts were made to confirm the OVD (with the marked tongue depressor provided by Dr. Levine), incisal position, midline, plane of occlusion, and centric position with the prosthesis in place. Adjustments were made as needed. Photographs were acquired to document and relay information via e-mail to the lab technician. The lab will use the registration material left in the intaglio surface of the prostheses, as healing caps will be placed on the newly fabricated models. This allows the index to transfer the OVD and centric relationships with contact just on the healing caps. The soft tissue plays no role in this relationship. A bite registration was made to confirm centric relation. Healing caps were then removed and open tray impression copings were placed. If the connection between the implant abutments and the impression copings are not visualized, then x-ray confirmation of the connection is needed. Transfer Impressions were made using a custom tray and rigid impression material of choice, in this case polyether was used. Our lab courier delivered the dentures and impressions to the lab for the conversion to metal-reinforced, screw retained provisionals, which were delivered back to the restorative office within 24 hours.
The next afternoon, the prostheses were inserted (Fig 10) and panoramic radiographic confirmation of proper seating was obtained (Fig 11). Any necessary occlusal adjustments were then completed. The patient was then seen every 2-3 weeks for deplaquing and plaque control review per our earlier discussed protocol. The occlusion was also refined as needed. A water irrigation device was given and reviewed at 6 weeks post-surgery.
As the patient was in Florida for the winter, and unable to come in after the typical 3 month protocol, she was seen 4 1/2 months after the surgery. At that time, periapical x-rays of each implant were done to confirm bone healing. The prosthesis were removed and cleaned. GC verification jigs (Fig 12), made on the original models and fabricated prior to the appointment, were tried in. If passivity is not confirmed, then the GC jig can be cut and re-indexed. Once the fit of the verification jigs was confirmed, custom trays were used to transfer the relationships (Fig 13). During the following appointments, OVD and centric relations were obtained, and the wax try-ins were confirmed for esthetics, phonetic, and occlusion prior to the milling of the framework (Fig 14). It is important to confirm tooth location prior to milling the framework so that the framework was designed within the parameters of the acrylic/tooth borders.
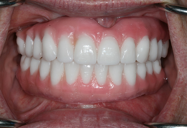
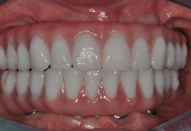
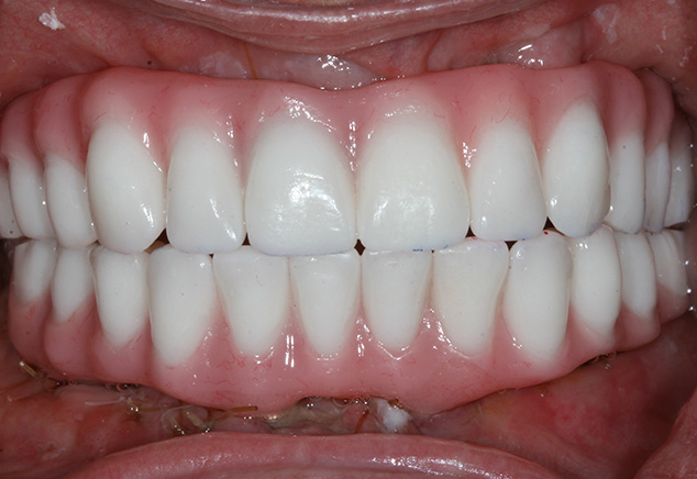
At the insertion appointment, the healing caps were removed and cleaned with Chlorhexidine. Figure 15 demonstrates the excellent healing of the soft tissue prior to insertion of the prosthesis. Once inserted, the esthetics, phonetics, and OVD of the prosthesis were confirmed. The occlusion was adjusted as needed. Screws were tightened to 15 Ncm, screw access openings were filled with Teflon tape to within 2mm of the surface, and a soft material such as Telio or Fermit was used to seal the access. A maxillary acrylic nightguard was fabricated to aid in protection of the occlusal surfaces from wear and to help reduce any parafunctional habits. The completed case is shown (Fig 15, Fig 16, Fig 17, Fig 18). At subsequent appointments, the prostheses were evaluated to determine if they needed to be removed to assess the soft tissue or if any contouring of the acrylic was necessary. Eventually the soft material used to close the access can be replaced with a hard composite material.
Conclusion
A Complex-SAC Straumann® Pro Arch™ Case was presented. Management of this treatment utilized the advantages of the team approach for maximizing our combined knowledge to benefit the patient, consistent with ITI doctrine. The use of the BLT implants, due to excellent initial stability, gave us the confidence in our ability to not only use immediate extraction sites (Type 1 implant placement), but also, to increase avoidance of anatomic structures. In this case, the structures include the maxillary sinuses, nasopalatine and mental foramina, as well as the inferior alveolar nerve canals. In addition, with the tapered design of the BLT implant, maxillary anterior areas could be utilized by the surgeon to avoid apical fenestrations where undercuts could become problematic using straight walled Bone Level implants. The coordinated appointments, along with the symphony-like steps in the procedure, created a positive, "seamless" experience for the patient.
Robert A. Levine DDS, FCPP, FISPPS
Diplomate, American Board of Periodontology
Fellow, International Team for Implantology (Basel, Switz.)
Private Practice at the Pennsylvania Center for Dental Implants & Periodontics, Philadelphia, PA
Clinical Professor in Periodontics & Implantology Kornberg School of Dentistry at Temple University, Philadelphia, PA
Clinical Associate Professor in Periodontology & Implantology
University of North Carolina, Chapel Hill, NC ;
Harry Randel DMD
Fellow, International Team for Implantology (Basel, Switz.)
Private Practice in Prosthodontics & Advanced Restorative Dentistry, Philadelphia & Blue Bell, PA